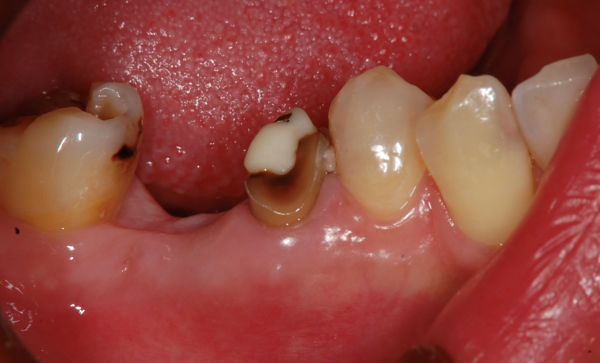
-
症例
2026-03-09
その他
【症例】定期検診で発見した溶けてしまった奥歯に対する、エムドゲインを用いた骨再生治療
-
症例
2026-02-27
ジルコニアセラミック
【症例】コンポジットレジンのラミネートをジルコニアセラミックで綺麗に修復
-
症例
2026-02-06
セラミック治療
虫歯
【症例】虫歯に対するジルコニアインレー(Zenostar)治療
-
症例
2026-01-06
ジルコニアセラミック
セラミック治療
【症例】天然歯のような被せ物で前歯をやりかえ治療
-
症例
2025-12-03
セラミック治療
【症例】自覚症状のない虫歯に対するセラミック(e-max)治療
-
症例
2025-11-01
インプラント
【症例】ぐらぐらしている大人の乳歯をインプラント治療で自然な前歯に
-
症例
2025-09-29
その他
【症例】咬みやすい歯列をつくるための包括的歯科治療
-
症例
2025-09-16
審美歯科治療
虫歯
【症例】感染で膿んでしまった歯に対する根管治療と被せ物
症例一覧

