- 恵比寿の歯医者「恵比寿デンタルクリニック東京」TOP
- お知らせ・ブログ・症例一覧
- 症例
- 【症例】欠けてしみる奥歯をe-maxで審美的かつ機能的に改善
【症例】欠けてしみる奥歯をe-maxで審美的かつ機能的に改善
2026/03/23
-
セラミック治療
| 治療内容 | e-max(セラミック) |
|---|---|
| 期間 | 2週間 |
| 治療回数 | 2回 |
| 費用 | 55,000円(税込) |
治療前の状態・主訴
患者様は20代男性の方です。初診時に、「左上の奥歯が欠けてしまい、冷たいものがしみる」とのことで来院されました。
レントゲン撮影および視診にて、奥から二番目の歯に虫歯による歯質の欠損を認めたため、虫歯を削り、被せ物治療を行うために形を整えました。
患者様は虫歯の再発がしにくく、かつ審美性の高い材料をご希望されたため、今回はe-max(セラミック)の被せ物を選択していただきました。
治療詳細
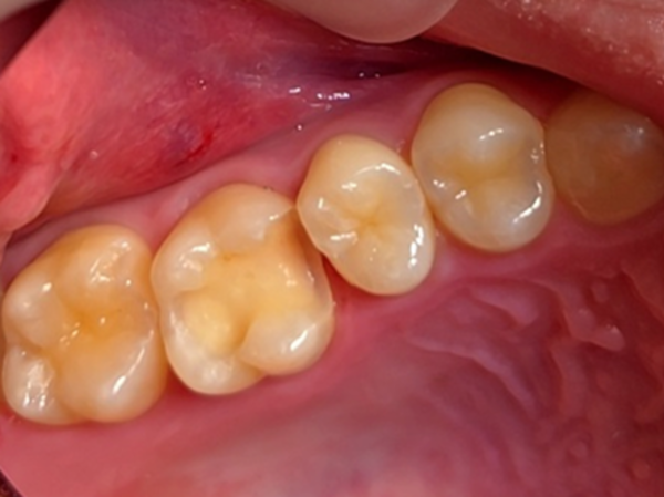
こちらは虫歯をとって形を整えた後の写真です。

色調については、型取りの際に患者様と一緒に確認しながら決めていきます。
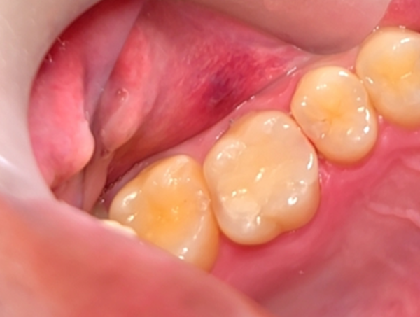
最終的に被せ物(セラミック)を入れた時のお写真です。

しっかりとしたフィット感と透明感があり、色調も自然に馴染んでいます。
治療後の様子
咬合も安定し、主訴であった歯質の欠損および、しみる症状も改善されました。
主な副作用・リスク
・e-max(セラミック)はジルコニアと比較して強度がやや低いため、奥歯の歯ぎしり、食いしばりの強い方では、被せ物が割れてしまうリスクがあります。
・スポーツや歯軋り、食いしばりの強い方は注意が必要になりますので、対策としてナイトガードの装着や、ジルコニアの被せ物への変更などもお勧めしています。
・被せ物が完成するまでの間は仮封となるため、粘着性のある食べ物や硬い食べ物によって外れるリスクがあります。
・仮封期間中は、しみる症状が出る可能性があります。
材料特性を考慮した選択により長期的な安定が期待できます
今回、虫歯による歯質欠損に対し、審美性と機能性のバランスを考慮してe-max(セラミック)を選択しました。
e-max(セラミック)はジルコニアと比較して透明感が高く、より自然に近い審美性を得ることができます。また、適合精度が高く、適切な接着操作を行うことで、長期的な安定も期待できます。さらに、セラミックは材料表面に細菌が付着しにくく、腐食もしないため、長期的に虫歯の再発リスクを下げることができます。
一方で、噛み合わせの力の強い方の症例では、ジルコニアなどの他の材料選択やナイトガードの併用など、その症例に合わせた適切な治療選択が重要となります。今回の症例においても、今後は定期的なメインテナンスを通じて、長期的に状態を確認していくことが重要であると考えます。
歯のことで何か気になることがございましたら、いつでもお気軽にご相談ください。
恵比寿デンタルクリニック東京 歯科医師 伊村
こちらもご参照ください。
恵比寿駅西口徒歩1分の歯医者
恵比寿デンタル
クリニック東京
〒150-0013
東京都渋谷区恵比寿1-10-8
トレベルノビル1F
【平日】
9:00~13:00/14:30~18:30
※最終受付:18:00
【土日】
9:00~14:30
※最終受付:14:00
休業日:祝日・年末年始

