- 恵比寿の歯医者「恵比寿デンタルクリニック東京」TOP
- お知らせ・ブログ・症例一覧
- 症例
- 【症例】折れてしまった奥歯を抜歯し、サイナスリフトとインプラントで修復
【症例】折れてしまった奥歯を抜歯し、サイナスリフトとインプラントで修復
2026/04/20
-
インプラント
| 治療内容 | サイナスリフト・インプラント治療 |
|---|---|
| 期間 | 約1年半 |
| 治療回数 | 約10回 |
| 費用 | サイナスリフト 242,000円(税込)インプラント治療 407,000円(税込) |
治療前の状態・主訴
今回の患者様の主訴は「右上の奥歯がグラグラしており、時々膿のような臭いがする」とのことでした。

診察したところ、右上の奥から2番目の歯が揺れており、レントゲンではそちらの歯が真っ二つに割れており、大きな感染巣が形成されていました。また奥から3番目の歯には根尖病巣が認められました。
患者様とご相談の上、奥から2番目の歯は抜歯、奥から3番目の歯は根管治療を行うことになりました。また、抜歯した部位についてはインプラント治療をご希望されました。
治療詳細
まず、奥から2番目の歯の抜歯を行いました。十分に掻爬(そうは)を行いコラーゲン状の薬を挿入し感染によって溶けてしまった骨の回復を促しました。
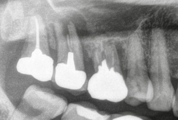
その後、奥から3番目の歯の根管治療を開始しました。しかし3本ある根管のうち1本が破折してしまっていることが判明したため、破折した根のみを抜歯し、残りの2本の根管を治療しました。

写真は根管治療終了時のものです。抜歯部位は骨がかなり薄く、このままではインプラント治療が困難な状態でした。
そのためサイナスリフトを患者様にご提案しました。
サイナスリフトとは、鼻の横にある副鼻腔(上顎洞)の底部に骨を作る材料を充填し骨を造成する治療です。
患者様のご希望により、サイナスリフトを行うことになりました。
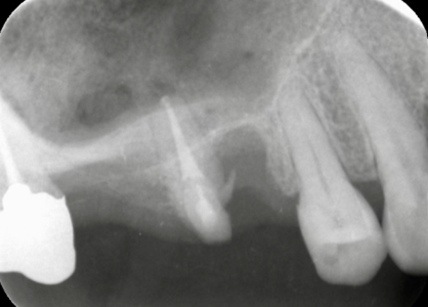
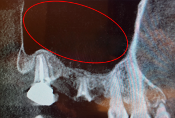
なお、抜歯前に撮影したCT画像では、副鼻腔内膜が歯由来の感染症で炎症を起こし、かなり肥厚しているのが確認されたのですが、サイナスリフト前に再度CTを撮影したところ、肥厚は消失し綺麗になっているのが確認できました。

白っぽく膨らんで見える部分が肥厚です。抜歯後には感染が除去されたことにより肥厚が綺麗になくなっていました。

サイナスリフトを行った後、約6ヶ月ほど待ち、再度CTで骨の状態を確認したところ、十分な骨形成が認められました。

その後インプラント埋入手術を行い、手術後はインプラントが骨と結合するまで4ヶ月ほど待ち、上部構造(被せ物)を装着しました。
治療後の様子
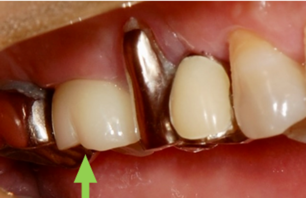
こちらが治療後の歯の写真です。

「膿の臭いがなくなり、しっかり噛めるようになった」と、患者様にもご満足いただけました。

なお、奥から3番目の歯は根を1本抜歯しているため強度が低く、今後も経過観察が必要であるとお伝えしました。
主な副作用・リスク
・抜歯、サイナスリフト、インプラント治療などの外科処置後には、一時的に痛みや腫れが生じる可能性があります。
・サイナスリフトは上顎洞内に骨を再生させる治療のため、上顎洞内に慢性炎症がある場合は施術ができないことがあります。
・サイナスリフトの治療後は一時的に鼻出血が出ることがあります。
・術後しばらくは上顎洞に負担がかからないように注意が必要です。(強く鼻をかまない、うつ伏せで寝ないなど)
・予後に関わるため禁煙が望まれます。
・骨造成による骨の再生量には個人差があります。
・インプラント治療後は、必ず定期的なチェックとメンテナンスが必要です。
感染により失われた骨も、適切な治療で機能回復へと導きます
歯の破折や重度の歯周病、その他の理由で治療ができない状態の歯(抜歯する以外方法がない状態の歯)をそのままにしておくとその周囲から感染を起こします。
通常はご自身の免疫力がありますのでどんどん感染が進行するというわけではありませんが、長期的にみると感染はゆっくりとじわじわ広がっていきます。
感染が進行している間は自覚症状がないことも多く、「症状がないからもう少し様子を見よう」と考えられる方もいらっしゃいます。
しかし、その間にも炎症性サイトカインという物質が持続的に放出され、免疫システムが過剰に反応することで、正常な細胞や組織にダメージを与え、組織の修復・再生が妨げられることがあります。場合によっては、その影響が全身に及ぶ可能性もあります。
自覚症状がなくても定期検診を受け、口腔内に炎症の原因が残っていないか確認し、必要に応じて早期に治療を行うことをおすすめします。
最近歯科を受診されていない方や、定期検診をご検討されている方、治療方針に迷われている方は、恵比寿デンタルクリニック東京までお気軽にご相談ください。
恵比寿デンタルクリニック東京 院長 岡本
こちらもご参照ください。
【症例】諦めていたインプラント治療がサイナスリフト(骨造成)により可能に|恵比寿デンタルクリニック東京
再生治療|恵比寿デンタルクリニック東京
インプラント|恵比寿デンタルクリニック東京
恵比寿駅西口徒歩1分の歯医者
恵比寿デンタル
クリニック東京
〒150-0013
東京都渋谷区恵比寿1-10-8
トレベルノビル1F
【平日】
9:00~13:00/14:30~18:30
※最終受付:18:00
【土日】
9:00~14:30
※最終受付:14:00
休業日:祝日・年末年始

