- 恵比寿の歯医者「恵比寿デンタルクリニック東京」TOP
- お知らせ・ブログ・症例一覧
- 症例
- 【症例】定期検診で発見した溶けてしまった奥歯に対する、エムドゲインを用いた骨再生治療
【症例】定期検診で発見した溶けてしまった奥歯に対する、エムドゲインを用いた骨再生治療
2026/03/09
-
その他
| 治療内容 | 骨の再生治療(エムドゲイン) |
|---|---|
| 期間 | 7ヶ月 |
| 治療回数 | 約5回 |
| 費用 | 55,000円(税込) ※被せ物は別途料金がかかります。 |
治療前の状態・主訴
患者様は50代女性の方です。特に自覚症状はありませんでしたが、全体的なチェックをご希望され来院されました。
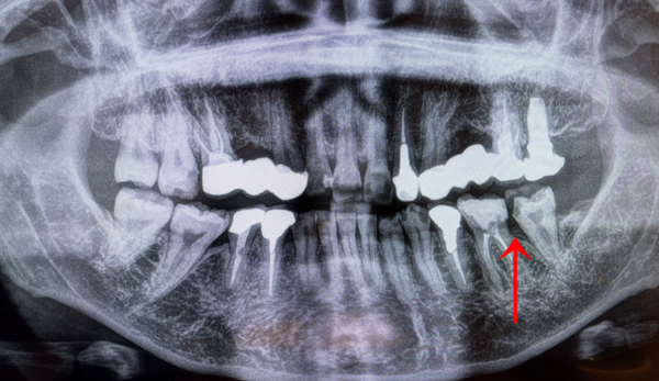
レントゲン検査(二次元画像)と歯周ポケットの測定により、左下の一番奥歯の周りの骨が溶けていることが分かりました。

さらに詳細を確認するためにCT撮影を行ったところ、左下の一番奥歯とその手前の歯の間の骨が部分的に溶けていました。

噛み合っている上の歯には、10年以上前に他院で埋入されたインプラントが装着されていました。
インプラントは骨と強固に固定されていますので、噛む力が強くかかると、ご自身の歯の周りに炎症が起こり、骨が溶けることがあります。
今回その影響による可能性が高いと考えられました。
治療詳細
歯茎を切開し、骨が溶けた部分に溜まっている汚れを除去しました。その後、骨再生の薬(エムドゲイン)を入れて治癒を約5ヶ月待ちました。

CTにて骨ができているのを確認し、被せ物を作製・装着しました。
併せて噛み合わせも細かく調整し、夜間の歯軋りのためのマウスピースも作製いたしました。
治療後の様子
もともと自覚症状はありませんでしたが、治療後は歯茎の炎症も改善し、歯周ポケットの測定値も良好です。
主な副作用・リスク
・本治療は歯茎を切開する外科処置を伴うため、一時的に1週間程度の腫れ、痛みが生じる可能性があります。
・骨の治癒を待つため、治療完了まで期間を要します。
・骨の溶け方や歯の状態によっては、治療の適応とならない場合がございます。
症状がなくても進行するお口のトラブルを、定期検診で早期に発見し大切な歯を守りましょう
今回、骨が溶けた原因は噛み合わせによる過度な力や、インプラント部における噛み合わせの調整不足と考えております。
被せ物は装着時に問題がなくても、年月の経過とともに歯がわずかに移動し、噛み合わせが変化することがあります。
もしこのまま気づかずに放置していた場合、数年以内に抜歯が必要になっていた可能性もあります。
自覚症状がなくても、定期的な歯科検診を受けることで、早期発見・予防につながります。
長く快適にお食事や会話を楽しんでいただくためにも、ぜひ定期検診をご活用ください。
恵比寿デンタルクリニック東京 歯科医師 岩田
こちらもご参照ください
恵比寿駅西口徒歩1分の歯医者
恵比寿デンタル
クリニック東京
〒150-0013
東京都渋谷区恵比寿1-10-8
トレベルノビル1F
【平日】
9:00~13:00/14:30~18:30
※最終受付:18:00
【土日】
9:00~14:30
※最終受付:14:00
休業日:祝日・年末年始

