- 恵比寿の歯医者「恵比寿デンタルクリニック東京」TOP
- お知らせ・ブログ・症例一覧
- 症例
- 【症例】コンポジットレジンのラミネートをジルコニアセラミックで綺麗に修復
【症例】コンポジットレジンのラミネートをジルコニアセラミックで綺麗に修復
2026/02/27
-
ジルコニアセラミック
| 治療内容 | ジルコニアセラミッククラウン治療 |
|---|---|
| 期間 | 約1ヶ月 |
| 治療回数 | 5回 |
| 費用 | 792,000円(税込) (132,000円×6本) |
治療前の状態・主訴
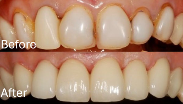
今回の患者様は以前、前歯の色が気になりコンポジットレジンにてラミネートをされていましたが、「時間の経過とともにレジンが劣化し、周囲が虫歯になってしまった」、「縁から天然歯の色が見えてきてしまっているのが気になる」とのことで来院されました。

前歯5本がレジンにてラミネートされていますが、レジン周囲から虫歯になっており、写真には写っていませんが隣接部は歯の裏側にも虫歯ができておりました。また、1本プラスチック系の補綴物が入っておりますが、色が周囲とあまり合っていないことに加え、補綴物の内側に虫歯がありました。
治療詳細
今回は虫歯の範囲が広い(歯の表の面も裏の面も虫歯になっていた)ため、セラミックラミネートベニアでの治療よりもジルコニアセラミッククラウンでの治療をおすすめいたしました。
ラミネートベニアは、歯をなるべく削らないような治療には向いていますが、すでに虫歯になってしまっている場合には、虫歯を削った部分を守るためにクラウンタイプ(被せるタイプ)にする方が将来的に虫歯になりにくく長持ちします。
ジルコニアセラミックは丈夫で割れにくく、生体親和性も良いです。また、表面に乗せるセラミックによって色も完全オーダーメイドで作成することが可能です。
今回プラスチック系の補綴物が入っている部分も同様の素材で被せることになりましたので、6本の前歯のやりかえとなりました。
まずは仮歯を作成し、仮歯に置き換えました。仮歯に置き換える際に虫歯は全て除去しております。
その後、仮歯の形を患者様と相談しながら調整していきます。
納得がいったところで歯型をとり、ジルコニアセラミックを作成していきます。
今回は、奥歯にすでにセラミック系の補綴物が入っており、その色に合わせて欲しいとのご希望でしたので、色を合わせたい部分の写真を撮り、技工所に一緒に送ります。
歯型をとってから約2週間で完成となります。
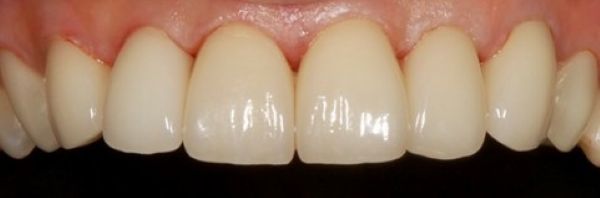
治療後の様子
Before

After

患者様は、色がそろって綺麗になったと喜んでくださいました。
ジルコニアセラミックはきちんとお手入れをしていれば、長持ちするため虫歯になりにくいです。
主な副作用・リスク
・定期的な検診とクリーニングは必須です。
ジルコニアセラミックは滑沢性に優れるため比較的汚れが付着しにくい素材ではありますが、補綴物や詰め物は全て、天然歯との接合部があるためその部分から虫歯が発生しやすいです。そのため、定期検診でチェックを受けていただくことと、ご自身だけでは清掃しにくい部分に対しても、衛生士による細かなケアを受けていただくことで長持ちします。
・定期的な噛み合わせのチェック、調整を行うことが重要です。
・神経がある歯の場合、補綴物作成時に歯を削った後、痛みやしみが出る可能性があります。個人差はありますが徐々に良くなっていきます。
コンポジットレジンでの治療後は劣化に注意が必要です
コンポジットレジンによる治療は、歯の削る量を少なくでき、見た目も白い色で綺麗に仕上がります。
しかし、時間が経過するとレジン自体の劣化が起きるため様々な症状が発生します。
例えば、色が変色してくる、表面がザラザラしたり段差ができたりする、レジンの縁が黒ずんできたり虫歯になってくるなどがあります。
レジンで治療したところが虫歯になり、再度レジンで治療する、ということを何度も繰り返していると、歯の削る量が増え、レジンの範囲が大きくなっていき、劣化時により目立つようになる場合があります。そのような時は、どこかのタイミングで材料自体を長持ちするものに変えていくのも一つの選択だと思います。
補綴物のやりかえをお考えの方や、歯のことで何か気になることがある方は是非、恵比寿デンタルクリニック東京にお気軽にご相談ください。
恵比寿デンタルクリニック東京 院長 岡本
こちらもご参照ください。
恵比寿駅西口徒歩1分の歯医者
恵比寿デンタル
クリニック東京
〒150-0013
東京都渋谷区恵比寿1-10-8
トレベルノビル1F
【平日】
9:00~13:00/14:30~18:30
※最終受付:18:00
【土日】
9:00~14:30
※最終受付:14:00
休業日:祝日・年末年始

