- 恵比寿の歯医者「恵比寿デンタルクリニック東京」TOP
- お知らせ・ブログ・症例一覧
- 症例
- 【症例】ティオンのホワイトニングで美しく白い歯に(30代女性)
【症例】ティオンのホワイトニングで美しく白い歯に(30代女性)
2021/09/21
-
ホワイトニング
| 治療内容 | オフィスホワイトニング |
|---|---|
| 期間 | 2〜3週間 |
| 治療回数 | 2回 |
| 費用 | 33,000円(税込) |
治療前の状態・主訴
患者様は、今よりも歯を白く明るくしたいとのことで来院されました。
患者様のご希望により、早く高い効果が見込めるオフィスホワイトニングで対応することになりました。
治療詳細
恵比寿デンタルオフィス東京では、下記の流れでオフィスホワイトニングを行います
<1回目のご来院>
【STEP1】オフィスホワイトニングについてのご説明。
【STEP2】保険診療で歯のクリーニングを行います。
【STEP3】 歯肉保護剤を塗布します。
【STEP4】歯面にオフィスホワイトニング用の薬剤を塗布し、光照射を6分行います。 (これを3回繰り返します)
【STEP5】歯の表面をきれいに磨きます。
<2回目のご来院>
1回目と同じ内容を行います。
詳しくは下記のご確認ください
オフィスホワイトニング|ホワイトニング|恵比寿デンタルクリニック東京
当院ではすべてのホワイトニングに「ティオンホワイトニング」を採用しております。
<ティオンホワイトニングの特徴>
・ 厚生労働省の認可を受けているホワイトニング剤です。
日本において薬事認可を受けるには厳しい審査があり、それをパスした安全性と有効性を認められたホワイトニング剤です。
・ ホワイトニング効果を上げるために薬剤の濃度(オフィスホワイトニングの場合は過酸化水素)を上げれば上げるほど知覚過敏など有害事象発生のリスクが高まります。ティオンは新技術、可視光応答型光触媒V−CATの応用により比較的低い過酸化水素の濃度での高いホワイトニング効果をあげることができます。
・ オフィスホワイトニングは光をあてて薬剤を作用させますが一般的には人体に有害とされている紫外線域の光にしかほとんど反応しません。ティオンはV-CATの採用により紫外線域の光だけではなく、安全な光波長域である、可視光域の光にも反応することができます。
・ ホワイトニングで使用するジェルのPH値は約6でエナメル質が脱灰しにくい特徴があります。
治療後の様子

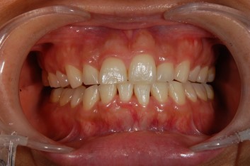
Before ホワイトニング施術前

After ホワイトニング施術後

Afterの写真はオフィスホワイトニング2回終了後のものです。
かなり白くなったことがわかります。また白濁感もなく自然な白さになりました。患者様は、ホワイトニング施術当日、少ししみる感じがあったようですが、次の日にはおさまったとのことです。
ホワイトニングの仕上がりに対して、患者様には大変満足していだだけました。
今後は定期的に歯のクリーニングを受けていただき、この美しい状態をできるだけキープしていただきたいと思います。
主な副作用・リスク
- ・オフィスホワイトニングは施術中しみる症状が出る場合があります。症状がひどい時には施術を中断する可能性があります。
- ・施術前にしみる原因となりうるもの(虫歯、歯肉退縮など)が確認された場合、主治医の判断でホワイトニングを行う前に治療を行う場合があります。
- ・ホワイトニングをしても色が変わらない、もしくは変わりにくい場合があります。
※失活歯(神経の治療を行った歯)補綴歯(被せ物やレジンなどのつめものが入っている歯)など。事前に主治医や担当衛生士と相談が必要です。 - ・色がどのくらい変化するかは個人差があります。
- ・色の後戻りがあります。こちらも個人差があり生活習慣によっても差が出ます。
例えばワイン、コーヒーなど色の濃い飲み物を頻度高く飲んでいる場合や喫煙者である場合は後戻りが早い傾向にあります。
<ホワイトニングでお口の健康と美しい歯どちらも叶えましょう>
今回の症例の患者様は、もともと健康な口腔内であったこと、歯並びも良かったことから、このような美しい仕上がりになりました。
ホワイトニングは歯を白くすることが目的ではありますが、歯が白くなると患者様は「もっと健康で美しい歯になりたい」「この綺麗な状態をできるだけ長く維持したい」など歯に対する意識が高まることが多いと感じます。ホワイトニングがきっかけで、ご自身の歯のメンテナンスがしっかり行うことができ、歯医者でのクリーニングにも定期的に通われることで、結果的に虫歯のリスクが下がったり、歯周病の予防や進行の抑制につながるという効果も期待できます。
恵比寿デンタルクリニック東京のオフィスホワイトニングで使用するホワイトニング剤は「ティオン」です。日本製で厚労省の認可を受けた、安全で効果的なホワイトニングシステムですので、安心してホワイトニングの施術を受けていただけます。
健康で美しい口元のために、長く歯医者に行っていない方も、お気軽にホワイトニングを受けにいらしてください。
詳しくは下記のご確認ください
オフィスホワイトニング|ホワイトニング|恵比寿デンタルクリニック東京
恵比寿駅西口徒歩1分の歯医者
恵比寿デンタル
クリニック東京
〒150-0013
東京都渋谷区恵比寿1-10-8
トレベルノビル1F
【平日】
9:00~13:00/14:30~18:30
※最終受付:18:00
【土日】
9:00~14:30
※最終受付:14:00
休業日:祝日・年末年始

