- 恵比寿の歯医者「恵比寿デンタルクリニック東京」TOP
- お知らせ・ブログ・症例一覧
- 症例
- 【症例】レジンの詰め物がある方のオフィスホワイトニング
【症例】レジンの詰め物がある方のオフィスホワイトニング
2021/08/04
-
ホワイトニング
| 治療内容 | オフィスホワイトニング |
|---|---|
| 期間 | 1〜2週間 |
| 治療回数 | 2回 |
| 費用 | 33,000円(税込) |
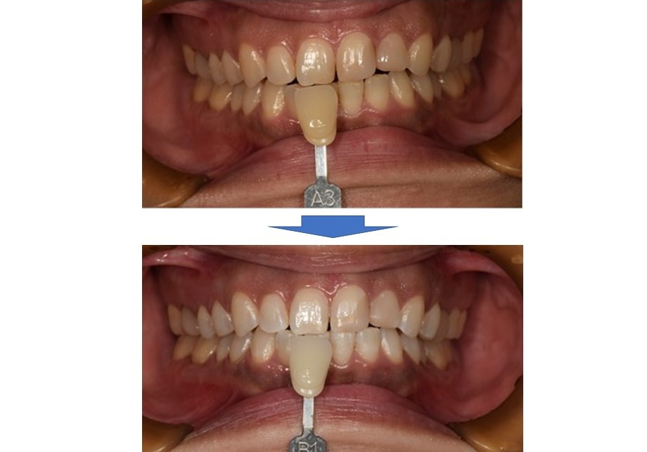
治療前の状態・主訴
歯を白くしたいとホワイトニング希望でご来院された患者様です。
まずは、事前に施術担当の歯科衛生士とカウンセリングをさせていただき、今回はオフィスホワイトニングを行うことになりました。所どころレジンの詰め物が入っており、おそらくホワイトニングをすると歯の色とレジンの色の差が大きくなり目立ちやすくなるとご説明しました。
ホワイトニングをすると歯の色は白くなりますが、レジンは色が変わらないので、ホワイトニング後に歯の色に合わせてレジンをやりかえたほうがいいとお勧めしました。
治療詳細
<1回目のご来院>
【STEP1】オフィスホワイトニングについてのご説明。
【STEP2】保険診療で歯のクリーニングを行います。
【STEP3】 歯肉保護剤を塗布します。
【STEP4】歯面にオフィスホワイトニング用の薬剤を塗布し、光照射を6分行います。 (これを3回繰り返します)
【STEP5】歯の表面をきれいに磨きます。
<2回目のご来院>
1回目と同じ内容を行います。
詳しくは下記のご確認ください
オフィスホワイトニング|ホワイトニング|恵比寿デンタルクリニック東京
治療後の様子
写真はオフィスホワイトニング2回目終了時です。
施術前よりかなり白くなったことがわかります。レジンのつめものもやはり目立ちやすくなったので、これから白くなった歯の色に合わせてやりかえていく予定です。
主な副作用・リスク
- オフィスホワイトニングは施術中しみる症状が出る場合があります。症状がひどい時には施術を中断する可能性があります。
- 施術前にしみる原因となりうるもの(虫歯、歯肉退縮など)が確認された場合、主治医の判断でホワイトニングを行う前に治療を行う場合があります。
- ホワイトニングをしても色が変わらない、もしくは変わりにくい場合があります。
※失活歯(神経の治療を行った歯)補綴歯(被せ物やレジンなどのつめものが入っている歯)など。事前に主治医や担当衛生士と相談が必要です。 - 色がどのくらい変化するかは個人差があります。
- 色の後戻りがあります。こちらも個人差があり生活習慣によっても差が出ます。
例えばワイン、コーヒーなど色の濃い飲み物を頻度高く飲んでいる場合や喫煙者である場合は後戻りが早い傾向にあります。
<理想の白さになったご自身の歯の色に合わせた治療で、より美しい口元に>
今回のホワイトニングの患者様は、オフィスホワイトニングを行いました。恵比寿デンタルクリニック東京のオフィスホワイトニングでは、まず歯をクリーニングして汚れを取り除いたあと、歯に直接ホワイトニングジェルを塗り、特殊な光を当てて歯を白くしていきます。オフィスホワイトニングは比較的短期間で歯が白くなるので、治療に時間をかけたくない方にお勧めの治療法す。
なお、ホワイトニングではレジンをはじめセラミックなどの人口の歯科材料は白くすることはできません。患者様はレジンの詰め物を入れておられましたが、ホワイトニングで理想の白さになったご自身の歯の色に合わせて、レジンのやりかえをする予定です。
恵比寿デンタルクリニック東京では、ホワイトニング後もお一人おひとりに合わせて丁寧にフォローさせていただきますので、安心してご来院ください。
ホワイトニングについての詳細は下記をご参照ください。
ホワイトニング|恵比寿デンタルクリニック東京
恵比寿駅西口徒歩1分の歯医者
恵比寿デンタル
クリニック東京
〒150-0013
東京都渋谷区恵比寿1-10-8
トレベルノビル1F
【平日】
9:00~13:00/14:30~18:30
※最終受付:18:00
【土日】
9:00~14:30
※最終受付:14:00
休業日:祝日・年末年始

