- 恵比寿の歯医者「恵比寿デンタルクリニック東京」TOP
- お知らせ・ブログ・症例一覧
- 症例
- 【症例】歯の寿命を延ばす、インプラントアンカーによる部分矯正(MTM)
【症例】歯の寿命を延ばす、インプラントアンカーによる部分矯正(MTM)
2021/05/22
-
インプラント
-
矯正治療
| 治療内容 | インプラントアンカーによる部分矯正(MTM) |
|---|---|
| 期間 | 4ヶ月 |
| 治療回数 | 6回 |
| 費用 | 55,000円(税込) |
治療前の状態・主訴
患者様は、口腔内の全体的な治療を希望され当院に来院されました。
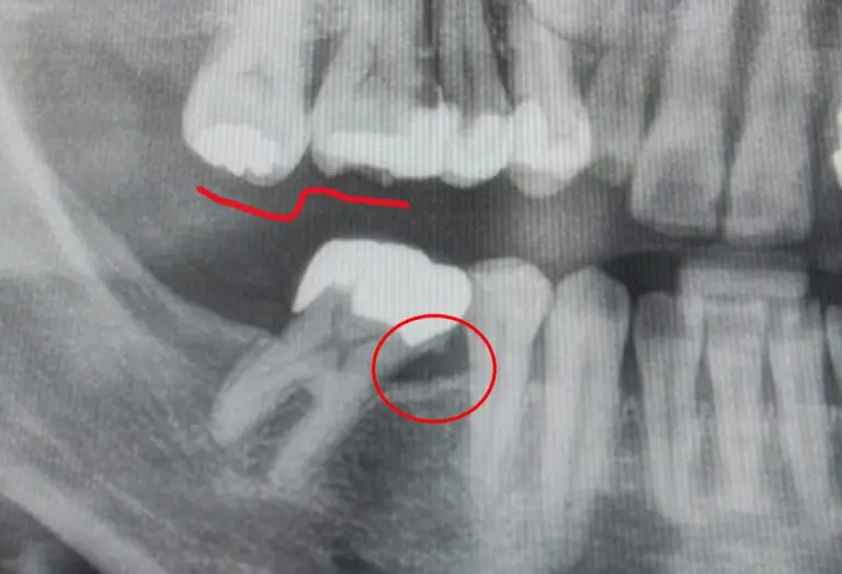
右下大臼歯は1歯欠損しているため、空いているスペースに歯牙が倒れこんでいます。
倒れている側は患者様ご自身による歯面の清掃が困難で、大きな歯石が付着していました(画像の赤丸部分)。
また、上顎の最後方臼歯は噛み合っていないため下に向かって挺出(ていしゅつ)※1してきています(画像赤線部分)。
そこで右下大臼歯の後方にインプラントアンカーを埋入し、それを支えにして大臼歯を後方に引っ張り起こすというMTM(部分矯正)※2を行うことになりました。
※1 挺出(ていしゅつ)とは
主に歯が欠損した場合に、対向する歯が本来の位置から突出するように移動することを言います。歯が挺出してくると、歯周組織の炎症や虫歯を引き起こす要因になることがあります。
※2 MTMとは
Minor Tooth Movementのことで、1歯〜数歯を動かす部分矯正治療です。歯周病治療や補綴治療と組み合わせることによって、高い効果をあげることができます。
今回はMTMにインプラントアンカーを使用した症例です。
治療詳細
後方埋入したインプラントアンカーと動かす歯を矯正用のゴムでつなぎ、ゴムの弾性によって歯牙を起こしていきます(赤矢印のイメージ)。
画像はすでに歯を起こしている途中のレントゲン画像です。
初診時よりだいぶ歯が起きてきているのが分かります。
歯根の移動により新たな骨添加(成長)が見られます(赤丸部分)。
治療後の様子
画像は、倒れ込んでいた大臼歯の移動完了時です。
この後アンカーを除去します。インプラントアンカーは歯肉を開けたりせず、簡単に除去することができます。
歯の移動が完了するまでおよそ2ヶ月、保定に2ヶ月、合計4ヵ月程度の期間を要しました。
歯の移動により確保できたスペースには、この後インプラント埋入していく予定です。
主な副作用・リスク
● 数か月単位という比較的長い時間がかかります
● 自費治療となります
● 歯を移動させる時に対合歯に当たってしまい動かなくなる場合があり、その際は歯を削る可能性があります
● 口腔内の状況によってはインプラントアンカーを打つことが難しい場合もあります
(その際はワイヤーによるMTMなどに置き換えることも可能です)
<ご自身の歯の寿命を延ばすためにMTM(部分矯正)が有効な場合があります>
今回の症例では、おそらく右下の大臼歯をこのまま放置していた場合、いずれ抜歯になっていた可能性が高いです。
歯を起こしたことで対合歯ときちんと噛み合うようになり、清掃もしやすくなったため抜歯を回避することができたと考えられます。
また、上顎の最後方臼歯も咬合できるようになったので、部分矯正完了後はこれ以上挺出してくることはなくなりました。
MTM(部分矯正)を用いた歯の動かし方には様々な方法あり、今回のインプラントアンカーによるMTMのケースはあくまで一例です。
そのままでは使用できず抜歯適応になってしまう歯も、動かしてあげることで補綴することが可能になることがあります。また補綴する際に歯を削る量を減らせるかもしれません。
歯を動かすことで清掃が容易になり、歯周環境を改善させることができ、さらに咬み合わせを回復させることで、該当の歯だけでなく、他の歯を守ることにもつながります。
当院ではMTM(部分矯正)を治療に併用したほうがよいと思われる場合は、積極的にご提案させていただいております。
矯正治療は見た目をよくすることだけが目的ではありません。ご自身の歯を守るために、MTMが有効な場合があります。
歯が移動している、歯が伸びてきたように感じる、歯を失ってからそのままにしている、といった方は、お気軽に恵比寿デンタルクリニック東京までご相談ください。
こちらもご参照ください
恵比寿デンタルクリニック東京|インプラント
恵比寿駅西口徒歩1分の歯医者
恵比寿デンタル
クリニック東京
〒150-0013
東京都渋谷区恵比寿1-10-8
トレベルノビル1F
【平日】
9:00~13:00/14:30~18:30
※最終受付:18:00
【土日】
9:00~14:30
※最終受付:14:00
休業日:祝日・年末年始

