- 恵比寿の歯医者「恵比寿デンタルクリニック東京」TOP
- お知らせ・ブログ・症例一覧
- 症例
- 【症例】ジルコニアセラミッククラウンによる前歯の審美回復
【症例】ジルコニアセラミッククラウンによる前歯の審美回復
2021/05/17
-
審美歯科治療
-
ジルコニアセラミック
| 治療内容 | ジルコニアセラミッククラウンによる審美補綴治療 |
|---|---|
| 期間 | 1ヵ月 |
| 治療回数 | 3回 |
| 費用 | 仮歯3,300円(税込)×2本 ジルコニアクラウン121,000円(税込)×2本 |
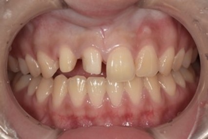
治療前の状態・主訴
食事中に前歯の被せ物が割れて取れてしまったとのことで、当院にご来院されました。新しい被せ物は見た目も自分の歯と同じようなものにしたいと患者様がご希望されました。
前歯は、普段お話しされる時や、笑った時に見える部分です。審美回復(見た目の美しさの回復)を目的とし、且つ歯肉の健康にも配慮し、ジルコニアセラミッククラウンでの補綴治療をご提案しました。
患者様も、前歯2本をジルコニアセラミッククラウンで治療することを選択されました。
治療詳細
1回目の治療
歯を多少削り、形を整え仮歯を装着します
2回目の治療
- 印象採取 歯の型どりを行います
- シェードテイク 患者様ご自身の歯の写真を10枚ほど撮影します。
※シェードテイクは、患者様ご自身の歯の色と、被せ物の色を同じ色に近づけるために、重要な工程です
3回目の治療
ジルコニアセラミッククラウンをセットします。
※技工物は、恵比寿デンタルクリニック東京が所属する医療法人港成会と提携の歯科技工所(有限会社デンタル・ビジョン)で作成します。安定した品質の被せ物をご提供しています
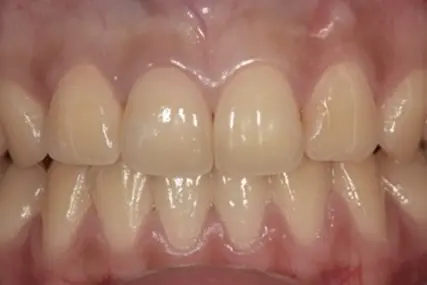
治療後の様子
隣の歯と比べても、どこが被せ物かわからない自然な仕上がりになり、患者様もご満足されました。
<ジルコニアセラミックのメリット>
- ご自身の天然歯と見分けがつかないほど、美しい色調と透明感のある歯の再現が可能で
- 経年劣化による色の変化が無く、汚れも付きにくいため、長くご使用いただけます
- ジルコニアを使用しているため、歯肉にもからだにも優しい材料です
(生体親和性に大変優れた素材です)
主な副作用・リスク
- 保険適用外の治療となります
- 外傷などぶつけた衝撃などで割れる場合があります
患者様お一人おひとりに合わせた、健康で美しい歯を再現する審美歯科治療をご提供
審美歯科治療においては、ただ単純に白い歯を入れるのではなく、他の歯との調和する美しさ、健康への配慮が大切です。
今回の症例では、前歯部に対してジルコニアセラミッククラウンを用いて美しさと歯肉やからだの健康への配慮を両立した、審美的補綴治療を行いました。
また、患者様のご希望を叶えるため、ご自身の歯の色調の再現に徹底的にこだわり、世界に一つだけの色調の再現を実現できました。完成度の高い被せ物で、患者様にもご満足いただけたことが何よりも嬉しく思います。
恵比寿デンタルクリニック東京では、ただ白くて綺麗な歯を入れるだけではなく、患者様一人ひとりに適した審美治療を行うことが可能です。
歯の色、被せ物の色、形態などでお悩みの方は、是非当院にお気軽にご相談下さい。
こちらもご参照ください
恵比寿デンタルクリニック東京|審美治療
恵比寿駅西口徒歩1分の歯医者
恵比寿デンタル
クリニック東京
〒150-0013
東京都渋谷区恵比寿1-10-8
トレベルノビル1F
【平日】
9:00~13:00/14:30~18:30
※最終受付:18:00
【土日】
9:00~14:30
※最終受付:14:00
休業日:祝日・年末年始

