- 恵比寿の歯医者「恵比寿デンタルクリニック東京」TOP
- お知らせ・ブログ・症例一覧
- 症例
- 【症例】ぐらぐらしている大人の乳歯をインプラント治療で自然な前歯に
【症例】ぐらぐらしている大人の乳歯をインプラント治療で自然な前歯に
2025/11/01
-
インプラント
| 治療内容 | インプラント治療 |
|---|---|
| 期間 | 8ヶ月 |
| 治療回数 | 6回 |
| 費用 | インプラントオペ 242,000円 カスタムアバットメント 55,000円 インプラント上部(ジルコニアセラミック)143,000円 全て税込 |
治療前の状態・主訴
患者様は、元々右上の側切歯(前歯の真ん中の隣にある歯)がなく、乳歯をそのまま使っていましたが、虫歯ができてしまい治療が必要になりました。しかし、乳歯の根が短く、歯自体がグラグラしている状態であり、虫歯治療に耐えられる状態ではありませんでした。
そこで、患者様とご相談したところ、乳歯は抜歯をしてインプラントで治療していくことをご希望されたため、インプラント治療を行う方針で決まりました。

治療詳細
まずは乳歯の抜歯を行い、歯が無くなった所には一時的な仮歯を作成いたしました。
乳歯は、歯根がほとんど吸収して無くなっている状態でしたので、抜歯後の傷口はかなり浅く、抜歯後の痛みもほとんどなかった様です。
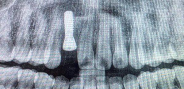
今回は、抜歯後の治癒を待つ時間が少なくて済んだため、抜歯後2ヶ月ほどでインプラントを埋入するオペを行いました。

インプラントを埋入し、4ヶ月待ってから上部構造のための歯型とりを行いました。
治療後の様子
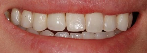
こちらが補綴物をセットした時の写真です。

患者様は
「以前、乳歯だった時はグラグラするのが心配で、噛むときに気にしながら食べていましたが、今は気にせず食事ができる様になりました。」
「乳歯が他の歯と比べると小さいことで見た目も気になっていたのですが、現在は微笑んだ時の歯の並びが気に入った。」
とおっしゃってくださいました。
主な副作用・リスク
・抜歯やインプラントオペ後は、一時的に腫れや痛みが出たり、出血しやすくなったりすることがあります。
・インプラントは、丈夫で長持ちする治療法ですが、天然歯と同様歯周病に罹患します。そのため良い状態で維持していくために定期的なメンテナンスが必須です。
永久歯の欠損にはインプラント治療がお勧めです
後継永久歯が元々欠損しており、乳歯を代わりに使用している方は時々いらっしゃいます。乳歯が元気な状態であれば、できるだけご自身の歯を使っていくことは素晴らしいことだと思います。
しかし、乳歯は、元々永久歯が生えてくるまでの間の使用を想定しているため、永久歯に比べて耐久年数が少ないことが多いです。そのため、使っているうちに乳歯が途中でグラグラしてきて使えなくなってしまうことがあります。
乳歯が使えなくなりそう、または乳歯が抜けてしまって隙間が空いたままになっており、今後どうしようか迷っている場合、インプラント治療であれば丈夫で見た目も自然に仕上がり天然歯のように噛むことができます。
インプラント治療のことはもちろん、お口の状態などで何か気になる事がございましたら、お気軽にご相談ください。
恵比寿デンタルクリニック東京 院長 岡本
こちらもご参照ください。
恵比寿駅西口徒歩1分の歯医者
恵比寿デンタル
クリニック東京
〒150-0013
東京都渋谷区恵比寿1-10-8
トレベルノビル1F
【平日】
9:00~13:00/14:30~18:30
※最終受付:18:00
【土日】
9:00~14:30
※最終受付:14:00
休業日:祝日・年末年始

