- 恵比寿の歯医者「恵比寿デンタルクリニック東京」TOP
- お知らせ・ブログ・症例一覧
- 症例
- 【症例】自覚症状のない虫歯に対するセラミック(e-max)治療
【症例】自覚症状のない虫歯に対するセラミック(e-max)治療
2025/12/03
-
セラミック治療
| 治療内容 | e-max |
|---|---|
| 期間 | 2週間 |
| 治療回数 | 2回 |
| 費用 | 55,000円(税込) |
治療前の状態・主訴
患者様は30代男性の方で、定期検診で来院されました。
見た目や痛みなど、特に症状は認められませんでしたが、レントゲン写真撮影にて、元の被せ物の下に隠れた虫歯の影が認められました。
治療詳細
まず、局所麻酔をした後、元々あった被せ物と虫歯を除去しました。
虫歯が大きく、神経近くまでに達していたので、神経を保護し1-2週間様子を見ました。
ここで大きな痛みが出たりすることがあれば、被せ物の前に神経をとる処置が必要になりますが、今回は1-2週間後に痛みも特になかったため、被せ物のために形を整え、型取りを行いました。

型取りをした後は、患者様とオーダーする色調を一緒に確認していきます。
そして、被せ物が出来上がるまでの間、歯を保護するための仮封をし、その後2週間程で被せ物(e-max)ができあがります。
仮封の間、滲みが強かったり、仮封がとれてしまったりした場合はいつでもご連絡ください。
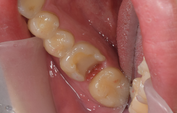
治療後の様子
型取りから約2週間後に、被せ物をセットしました。
今回は、e-maxという天然歯に近い色調と透明感があるセラミック素材を使用しました。
金属アレルギーの心配がなく、今回も下のように天然歯に近い被せ物をセットすることが出来ました。

この患者様は、治療後に痛みもなく経過しております。
主な副作用・リスク
・e-maxは、天然歯に近い強度を持っていますが、強い衝撃で割れるリスクがございます。
・スポーツや歯軋り、食いしばりの強い方は注意が必要になりますので、対策としてナイトガードの装着や、ジルコニアの被せ物への変更などもお勧めしています。
・セラミックの厚さを確保するため、銀の詰め物の場合よりも歯の切削量が増える可能性がございます。
虫歯の早期発見、早期治療のためにも定期検診が大切です
今回は、症状もなく患者様ご本人も気づかないうちに虫歯が進行していたケースでした。
検診を行うことで、このように早期の治療が可能となり、今後の神経の保護にもつながりますので、症状がない方でも一度歯科医院で検診を受けられることをお勧めしています。
当院では、患者様一人ひとりのお口の状態に合わせて、最適な治療法をご提案させていただいております。何か気になることがございましたら、いつでもお気軽にご相談ください。
恵比寿デンタルクリニック東京 歯科医師 伊村
こちらもご参照ください。
恵比寿駅西口徒歩1分の歯医者
恵比寿デンタル
クリニック東京
〒150-0013
東京都渋谷区恵比寿1-10-8
トレベルノビル1F
【平日】
9:00~13:00/14:30~18:30
※最終受付:18:00
【土日】
9:00~14:30
※最終受付:14:00
休業日:祝日・年末年始

