- 恵比寿の歯医者「恵比寿デンタルクリニック東京」TOP
- お知らせ・ブログ・症例一覧
- 症例
- 【症例】咬みやすい歯列をつくるための包括的歯科治療
【症例】咬みやすい歯列をつくるための包括的歯科治療
2025/09/29
-
その他
| 治療内容 | インプラント治療、骨造成治療、部分矯正治療、補綴治療 |
|---|---|
| 期間 | 約8〜9ヶ月 |
| 治療回数 | 約15回 |
| 費用 | インプラント治療 407,000円 骨造成 55,000円 部分矯正治療 55,000円 ジルコニアクラウン(3本) 264,000円 全て税込 |
治療前の状態・主訴
今回の患者様は、右側で噛みにくいので治して欲しいとのことで来院されました。
口腔内を確認すると、右下の第一大臼歯(手前側の奥歯)が完全に崩れてしまっていて、さらにはその手前の2本の小臼歯が舌側に倒れ込んでしまっており、歯の側面でギリギリ咬合している状態でした。
しっかり噛めそうなのは第二大臼歯ですが、そちらも虫歯になって半分欠けてしまっている状態でした。その後ろの親知らずは虫歯でほぼ歯がなくなり、かけらになっている状態がレントゲン画像で確認できました。

治療詳細
まずは、崩れてしまった第一大臼歯を抜歯しました。
患者様より、「治療に時間がかかっても良いのでしっかり噛めるようにしたい」とのご要望がありましたので、欠損した第一大臼歯部分にはインプラント治療、舌側に倒れている2本の小臼歯については、矯正治療で歯の向きを修正して正常咬合に戻すことをご提案しました。
抜歯後、時間をおいてインプラントを埋入しました。抜歯時に骨の吸収が激しいところがあったため、インプラント埋入時に骨造成(自分の骨や人工骨などを使って骨を増やし、骨の土台を作る外科的な処置)も一緒に行いました。
画像がこちらになります。

1枚目の写真は抜歯後3〜4ヶ月後の骨の状態です。斜めに骨が無くなっているのがわかります。
2枚目の写真はインプラントを埋入して4ヶ月ほどたった時の画像です。インプラント脇の再生治療を行なった場所は、しっかり骨ができているのがわかります。
インプラント治療を行っている間に、並行して小臼歯2本の部分矯正を行いました。
部分矯正はフルマウス矯正と異なり、部分的に矯正器具を装着し、短期間で矯正治療が終了するのが特徴です。
部分矯正は2〜3ヶ月で予定の位置まで歯を起こすことができました。保定期間を待った後、インプラント上部も含めて、4本全てに補綴物を作成しました。
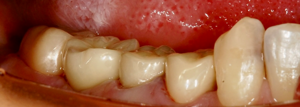
治療後の様子

完成時の写真がこちらになります。
患者様は、今までは右で噛みにくく自然と左ばかりで噛んでいたが、今はバランス良く噛めますとおっしゃってくださいました。
主な副作用・リスク
・外科治療後は一時的に出血、腫れ、痛みが出やすくなります。
・矯正治療でどこまで歯の位置を修正できるかは個人差があります。
・虫歯治療後は痛みが出ることがあります。時間の経過とともに収まりますが、収まるまでの時間には個人差があります。
・インプラント周囲や歯周組織を良好な状態に保つため、インプラント治療後や補綴物治療後は、定期的なメンテナンスが必須になります。
歯科治療は根本原因に目を向けることが大切です
歯科治療は虫歯を治して終わり、と考えている方も多いと思いますが、実際には虫歯以外にも様々な問題が起きており、それが複合的に重なり合うことで口腔内のトラブルにつながっていることが多いです。
トラブルの根本原因を探り、それを含めて包括的に治療を行うことで再発を防ぎ、長期にわたって口腔内を安定させていくことにつながります。
治療のことだけでなく、お口の中の状態で何か気になることがございましたら、恵比寿デンタルクリニック東京にお気軽にご相談ください。
恵比寿デンタルクリニック東京 院長 岡本
こちらもご参照ください。
恵比寿駅西口徒歩1分の歯医者
恵比寿デンタル
クリニック東京
〒150-0013
東京都渋谷区恵比寿1-10-8
トレベルノビル1F
【平日】
9:00~13:00/14:30~18:30
※最終受付:18:00
【土日】
9:00~14:30
※最終受付:14:00
休業日:祝日・年末年始

