- 恵比寿の歯医者「恵比寿デンタルクリニック東京」TOP
- お知らせ・ブログ・症例一覧
- 症例
- 【症例】神経の治療(根管治療)後変色した歯の治療と古くなったレジンの詰め物のやりかえ
【症例】神経の治療(根管治療)後変色した歯の治療と古くなったレジンの詰め物のやりかえ
2022/02/02
-
審美歯科治療
| 治療内容 | 前歯の被せ物治療、レジンの詰め替え、クリーニングとオフィスホワイトニング |
|---|---|
| 期間 | 約2ヶ月 |
| 治療回数 | 5〜6回 |
| 費用 | ジルコニアクラウン121,000円(税込) オフィスホワイトニング33,000円(税込) レジンの詰め替えとクリーニングは保険治療内 |
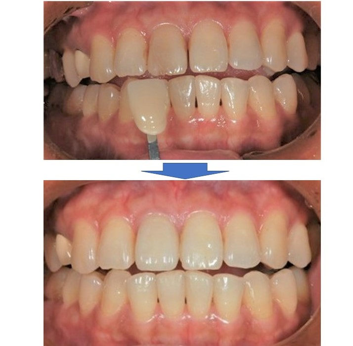
治療前の状態・主訴
この症例の患者様は、前歯の変色を主訴として来院されました。
該当の歯は、以前に神経の治療(根管治療)をしており、だんだん色が変わってきたとのことでした。

根管治療をした歯は、どうしてもだんだんと暗めの色に変色していきます。
また、根管治療をしていない歯と比較してヒビが入りやすくなったり、折れやすくなったりします。
今回治療予定の歯もヒビが入っていました。そのため、被せ物をすることにより色を変え、なおかつ鎧の様に外側から覆って歯を折れにくくすることにしました。
患者様はご相談の中で、自然な感じで前歯全体の印象が明るくなることを希望されていたため、まずクリーニングにて歯石、着色を除去し、その後ホワイトニングをすることをお勧めしました。
また、歯と歯の間に入っているレジンのつめものが変色して黄ばんでいるので、それも一緒にやりかえることになりました
治療詳細
ホワイトニング直後の画像です。

ところどころ白濁が見られます。これはホワイトニング直後によく見られるものですが、時間とともに消えていきます。
根管治療している歯は色がほとんど変わりませんがそれ以外の歯はナチュラルな白さになりました。
治療後の様子
レジンの詰め物をやりかえて、ジルコニアクラウンを被せた後の画像です。

自然な仕上がりになったと患者様に満足していただくことができました。
主な副作用・リスク
・ホワイトニング後一時的にしみる症状や白濁が生じることがあります。
・ジルコニアクラウンとホワイトニングは自費治療となります。
<変色し強度が下がった根管治療後の歯の治療から前歯全体を美しくする治療へ>
今回の症例の患者様の主訴は、根管治療を行った歯の変色でしたが、カウンセリングさせていただくと実は前歯を全体的にすこし明るくしたいというご希望があることがわかりました。
明るさは自然な色合いがご希望でした。そこでまずクリーニングで着色など落としご自身の元の歯の色に戻し、さらに少しだけホワイトニングで明るくしました。
そしてその色に合わせてレジンの詰め物をやりかえました。
ジルコニアクラウンは歯の色の写真を撮影し、技工士の技術によって完全オーダーメードで作成しました。
治療後の仕上がりに患者様にもご満足いただいたことはもちろん、根管治療が行われた歯の強度も補うことで、美しい状態を長く保っていただけるかと思います。
恵比寿デンタルクリニック東京では、患者様のご要望にできる限りお応えできるよう、カウンセリングに重きを置いております。しっかりカウンセリングした上で、患者様一人一人に合わせたオーダーメードの治療を行っております。
根管治療後の歯の変色が気になっている方は、まずはご相談にいらしてください。
こちらもご参照ください
審美歯科治療|恵比寿デンタルクリニック東京
ホワイトニング|恵比寿デンタルクリニック東京
恵比寿駅西口徒歩1分の歯医者
恵比寿デンタル
クリニック東京
〒150-0013
東京都渋谷区恵比寿1-10-8
トレベルノビル1F
【平日】
9:00~13:00/14:30~18:30
※最終受付:18:00
【土日】
9:00~14:30
※最終受付:14:00
休業日:祝日・年末年始

