- 恵比寿の歯医者「恵比寿デンタルクリニック東京」TOP
- お知らせ・ブログ・症例一覧
- 症例
- 【症例】左右非対称の前歯に対するジルコニアセラミッククラウンを用いた審美治療
【症例】左右非対称の前歯に対するジルコニアセラミッククラウンを用いた審美治療
2022/12/01
-
審美歯科治療
| 治療内容 | ジルコニアセラミッククラウンを用いた審美治療 |
|---|---|
| 期間 | 1ヶ月 |
| 治療回数 | 4回 |
| 費用 | ジルコニアセラミッククラウン2本 仮歯2本 合計税込 271,700円 |
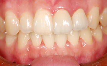
治療前の状態・主訴
症例の患者様は、20代の女性です。前歯が左右対象では無く、色も違うので被せ物で治してほしいということで来院されました。
前歯は過去に他の歯科医院にて歯の神経の治療をされており、また、歯茎のラインが非対称であることも、見た目の問題に影響していました。
患者様とご相談し、審美性と耐久性を考えジルコニアセラミックで修復することになりました。
治療詳細
右側の歯に合わせるため左側の歯2本を形成します。
色を合わせるため、対象物(シェードガイド)を置き写真を複数枚撮影します。
歯の色はお一人おひとり違い、透明感も異なるため、できる限りご自身の歯を忠実に再現した被せ物を作成するために、色合わせは大切な工程です。
また、歯肉のラインを左右対称にするために歯肉の切除も行いました。
型取りをして仮歯をいれ、問題なければ次回被せ物をいれていきます。
治療後の様子
自然な色合いに患者様も満足いただいています。
治療した歯もそれ以外の歯も、長く良好な状態で使えるよう、引き続きメンテナンスの対応をしてまいります。
主な副作用・リスク
- 保険適用外の治療となります
- 外傷などぶつけた衝撃などで割れる場合があります
審美的なお悩みは、過去の治療やお口の中の問題が影響している場合があります
本症例の患者様は、前歯の見た目が気になっておられました。該当の歯に対して数年前に他院にて神経を取る治療を受けておられました。
歯の色が他の歯の色と合っていないことは、神経の治療が影響していたと考えられます。また、他の歯科医院の処置で歯の前面にはレジンが盛られていました。
また、歯茎と歯の間のラインも非対称になっていた要因は、もともとの歯並びが影響していると考えられます。
歯に対するお悩みで「前歯の見た目」は大変多いのですが、お一人おひとり状況は異なり、また歯の色も千差万別です。今回の症例のように、審美的なお悩みは、過去の治療やお口の中の問題が影響している場合も多くあります。
恵比寿デンタルクリニック東京では、患者様ごとに今の口腔内の状況を丁寧にご説明させていただき、ご相談の上患者様に納得していただける治療に努めています。
歯のことでお悩みがある方は、是非一度当院にご相談にいらしてください。
こちらもご参照ください
恵比寿デンタルクリニック東京|審美歯科治療
恵比寿デンタルクリニック東京|予防治療/クリーニング
恵比寿駅西口徒歩1分の歯医者
恵比寿デンタル
クリニック東京
〒150-0013
東京都渋谷区恵比寿1-10-8
トレベルノビル1F
【平日】
9:00~13:00/14:30~18:30
※最終受付:18:00
【土日】
9:00~14:30
※最終受付:14:00
休業日:祝日・年末年始

